Nữ bệnh nhân vừa mắc ung thư phổi vừa bị dị dạng mạch máu não vượt qua 'Đường đua sinh mệnh' nhờ sự phối hợp giữa các Bác sĩ Việt nam - Singapore
Một bệnh nhân ung thư phổi chuẩn bị mổ thì bất ngờ phát hiện khối dị dạng mạch máu não khổng lồ – “quả bom nổ chậm” có thể vỡ bất cứ lúc nào trong lúc phẫu thuật. Bệnh viện FV khẩn trương phối hợp mạng lưới chuyên gia hàng đầu Việt Nam và Singapore để vạch ra chiến lược điều trị chuẩn xác, giúp bệnh nhân thoát lằn ranh sinh tử ngoạn mục.
Bất ngờ đối mặt mối nguy kép: ung thư phổi và khối dị dạng mạch máu não
Câu chuyện bắt đầu cách đây hơn 1 tháng, chị Đ.N.Nga (TP.HCM) bị ho kéo dài, đã đến một bệnh viện tư lớn ở TP.HCM kiểm tra sức khỏe. Kết quả cho thấy một đốm trắng bất thường trên phổi. Bác sĩ khuyên chị nên phẫu thuật ngay, rồi mới sinh thiết xem đó là u lành hay ác tính.
Lo lắng về chỉ định y khoa mơ hồ khiến vợ chồng chị Nga cảm thấy không an tâm nên quyết định tới Bệnh viện FV để tìm phương án khác.
Thạc sĩ, Bác sĩ CKII Lương Ngọc Trung – Trưởng khoa Phẫu thuật Mạch máu, Lồng ngực và Can thiệp nội mạch Bệnh viện FV khám và tư vấn cho chị Nga. Trên phim chụp cho thấy phổi của chị có một đốm mờ hơn 2 cm. “Theo hướng dẫn của Hiệp hội Ung thư, nốt phổi này là tổn thương cần được theo dõi cẩn trọng và xử lý phù hợp”, bác sĩ Trung nhận định. Anh tỉ mỉ phân tích từng khả năng có thể xảy ra và những phương án cho từng khả năng đó để bệnh nhân và gia đình hiểu rõ.
Theo khuyến cáo của Hiệp hội Ung thư thế giới, trường hợp của chị Nga sẽ có 3 lựa chọn: Chụp CT theo dõi mỗi ba tháng; hai là chụp PET CT kiểm tra bản chất khối u; ba là sinh thiết. Thời điểm đó, TP.HCM tạm hết thuốc phóng xạ nên không thể thực hiện PET-CT. Cả bác sĩ và người bệnh đồng thuận chọn cách chọc kim sinh thiết dưới hướng dẫn CT.

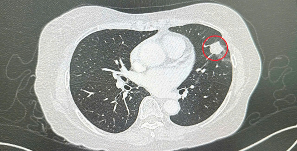
Hình chụp CT ngực với tổn thương ung thư thùy trên phổi trái
Dù đã chuẩn bị tinh thần song kết quả sinh thiết trả về với dòng chữ “ung thư phổi” vẫn khiến hai vợ chồng chị Nga choáng váng. Trường hợp của chị cần được mổ sớm nhất có thể để ngăn ngừa tế bào ung thư lan rộng. Bác sĩ Trung tỉ mỉ vạch từng bước điều trị dựa trên thông tin y văn thế giới và kinh nghiệm chuyên môn dày dạn của mình. Nhờ vậy, hai vợ chồng chị vững tâm, sẵn sàng cho “cuộc chiến”.
Tuy nhiên, khi thực hiện xét nghiệm MRI não để tầm soát di căn lại hé lộ một “quả bom nổ chậm” khác: trong não chị có một khối dị dạng mạch máu khổng lồ, chúng có thể vỡ bất cứ lúc nào, đặc biệt nguy hiểm khi gây mê phẫu thuật.

Hình chụp CT phình (hình trái) và khối dị dạng mạch máu não kích thước lớn (hình phải)
Phối hợp mạng lưới y tế Việt Nam – Singapore, tìm phương án điều trị tối ưu
“Giả sử mổ phổi thành công nhưng bệnh nhân bị tai biến mạch máu não ngay trên bàn mổ, thì mọi nỗ lực coi như đổ vỡ”, bác sĩ Trung phân tích. Một cuộc hội chẩn liên chuyên khoa với các chuyên gia mạch máu não nội và ngoại viện đã được tổ chức để cùng tìm phương án tối ưu cho ca mổ.
Cùng lúc ấy, nhân chuyến du lịch Singapore được định trước của gia đình, vợ chồng chị Nga được đội ngũ chuyên gia tại Tập đoàn y tế Thomson, đơn vị sở hữu Bệnh viện FV, kết nối gặp thêm chuyên gia mạch máu não tại Singapore, đồng thời chụp PET-CT để xác định tình trạng khối u, thăm khám xin ý kiến để có thêm những thông tin giá trị cho cuộc hội chẩn.
Hai ý kiến của chuyên gia Singapore và Việt Nam gặp nhau ở một kết luận quan trọng: dị dạng mạch máu não của chị Nga chưa tới mức cần can thiệp khẩn cấp. Nguy cơ tai biến trong phẫu thuật phổi là có, nhưng nằm trong ngưỡng chấp nhận được nếu kiểm soát tốt các yếu tố như huyết áp. Và như vậy, ưu tiên hàng đầu là mổ ung thư phổi trước, khi khối u vẫn ở giai đoạn sớm và khả năng chữa khỏi rất cao.

Ths.BSCK2 Lương Ngọc Trung khám cho bệnh nhân
“Cả gia đình đứng giữa ma trận của một cuộc chiến, mỗi hướng đều là thách thức và rủi ro. Nhưng với lộ trình rõ ràng mà bác sĩ Trung vạch ra, đồng thời có sự hội chẩn với các chuyên gia đầu ngành trong và ngoài nước, chúng tôi cảm thấy yên tâm và tràn đầy niềm tin”, anh Nguyễn T. Phong – chồng của bệnh nhân – cho biết.
Từ ca mổ hồi hộp nghẹt thở đến niềm hạnh phúc vỡ oà
Sáng ngày 31/7, ca mổ bắt đầu. Đội ngũ FV đã chuẩn bị mọi kịch bản dự phòng. Chỉ với đường rạch 3 cm, bác sĩ Trung đã đưa dụng cụ phẫu thuật nội soi vào lồng ngực bệnh nhân, loại bỏ toàn bộ khối u, cắt sạch tế bào ung thư, không di căn hạch – đạt chuẩn R0.

Thạc sĩ-bác sĩ CKII Lương Ngọc Trung và êkíp phẫu thuật cắt khối u trong phổi cho bệnh nhân
Ca mổ kết thúc sau 3 tiếng đồng hồ, êkíp mổ thở phào: Khối dị mạch không “gây chuyện”, mọi việc diễn ra suôn sẻ như dự tính. Giải phẫu bệnh sau đó khẳng định: ung thư phổi giai đoạn 1A, tiên lượng rất tốt, chỉ cần theo dõi định kỳ, không cần điều trị bổ sung. Đây có lẽ là một tin tuyệt vời nhất dành cho gia đình bệnh nhân.
Hai cha con anh Phong đợi ngoài phòng mổ, lòng nóng như lửa đốt khi ở trong kia ca mổ được tiến hành với khối dị mạch là một ẩn số lớn… Đến 12g15, khi nhận được tin nhắn từ bác sĩ Trung: “Ca mổ thành công”, hai cha con anh Phong cùng bật khóc vì vui sướng.
Một giờ sau, bác sĩ Trung xuất hiện sau cánh cửa phòng mổ, dù khá mệt sau ca phẫu thuật, anh vẫn ra gặp gia đình bệnh nhân, giải thích tỉ mỉ từng chi tiết. “Khoảnh khắc ấy, tôi sẽ không bao giờ quên”, anh Phong xúc động nói.

Gia đình chị Nga chụp hình lưu niệm cùng các bác sĩ FV trước khi xuất viện
7 ngày sau ca mổ, chị Nga được xuất viện với nụ cười rạng rỡ, cảm ơn hết thảy êkip đã tận tình cứu chữa cho chị.
Trải nghiệm điều trị bệnh đầy những cung bậc cảm xúc của vợ đã thôi thúc anh Phong viết lá thư cảm ơn, và chủ động gửi đăng trên một tờ báo lớn để bày tỏ sự cảm kích đối với bác sĩ Trung và Bệnh viện FV. Anh gọi hành trình chiến thắng ung thư của vợ mình là “một câu chuyện kỳ diệu về một người phụ nữ Việt Nam đã vô địch ‘cuộc đua thể thức F1’ trong hơn 4 giờ đồng hồ”. Một cuộc đua không phải trên mặt đường nhựa mà trên đường đua sinh mệnh.
“Chúng tôi vô cùng trân trọng và cảm kích trước sự tận tâm, chu đáo và đầy tình người mà bác sĩ Trung đã dành cho vợ chồng tôi. Bác sĩ không chỉ là người thực hiện ca phẫu thuật, mà còn là chỗ dựa tinh thần vững chắc cho chúng tôi trong suốt quá trình điều trị.
Bên cạnh bác sĩ Trung, tôi cũng xin gửi lời cảm ơn chân thành đến tập thể Bệnh viện FV – nơi đã cho chúng tôi một trải nghiệm y tế tuyệt vời với hệ thống cơ sở vật chất hiện đại, đạt chuẩn quốc tế, môi trường sạch sẽ, an toàn, và phong cách tổ chức chuyên nghiệp, chuẩn mực. Từ những điều nhỏ nhặt nhất, chúng tôi đều cảm nhận được sự tận tâm, tôn trọng và chăm sóc chu đáo như đang ở trong một “khách sạn 5 sao” thực thụ, nhưng vẫn đầy ấm áp và nhân văn”, trích bức thư của anh Phong và gia đình.
Với anh, lá thư không chỉ là món quà tinh thần tri ân những người đã mang lại cho vợ anh một cuộc đời mới, mà còn là thông điệp gửi đến những người bệnh: hãy tìm đúng hướng điều trị ngay từ đầu, đừng bỏ lỡ thời gian quý giá.
Chính nhờ sự phối hợp chặt chẽ giữa các chuyên khoa và cả mạng lưới chuyên gia Singapore-Việt Nam, Bệnh viện FV đã tìm ra phương án tốt nhất cho bệnh nhân. Sự kết hợp này tạo nên sức mạnh, góp phần làm nên những “phép màu y khoa”.
PV
Bài viết đóng góp, xin gửi về email:
lamanpv@gmail.com